ORINDA ORTHODONTICS ACCESSIBILITY STATEMENT
ORINDA ORTHODONTICS is committed to facilitating the accessibility and usability of its website, orindaorthodontics.com , for everyone. ORINDA ORTHODONTICS aims to comply with all applicable standards, including the World Wide Web Consortium's Web Content Accessibility Guidelines 2.0 up to Level AA (WCAG 2.0 AA). ORINDA ORTHODONTICS is proud of the efforts that we have completed and that are in-progress to ensure that our website is accessible to everyone.
If you experience any difficulty in accessing any part of this website, please feel free to call us at 510-849-2434 or email us at questions@orindaorthodontics.net and we will work with you to provide the information or service you seek through an alternate communication method that is accessible for you consistent with applicable law (for example, through telephone support).
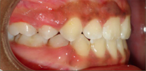
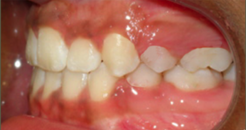
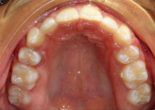
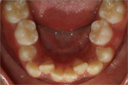
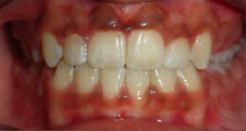
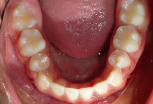
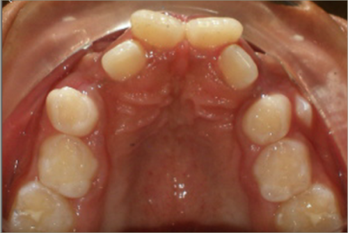
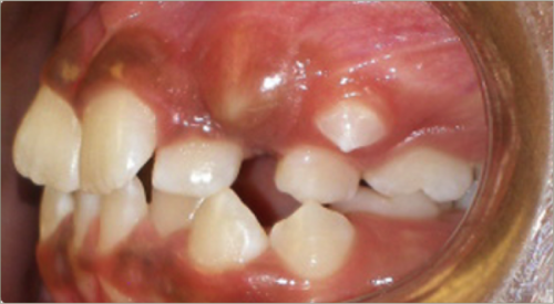
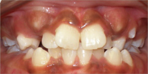
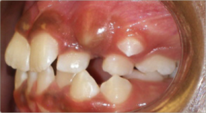
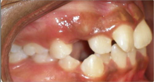
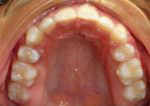
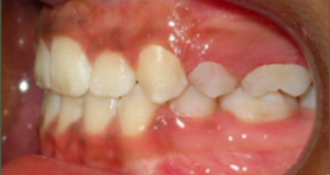
13 year old female:
Diagnosis:
- Severe upper & lower crowding
- Impacted upper cuspids
- Upper lateral incisors in Crossbite
Treatment:
- Extraction of upper & lower first bicuspids
- Full fixed appliances
- 22 months